21岁男生腹痛手术取出整颗瓜子 罕见病因敲响警钟!平日里再寻常不过的嗑瓜子习惯,竟让一位21岁的大学生险些付出沉重代价。扬州一名大学生因突发剧烈腹痛,几经周折后被紧急送往扬州市妇女儿童医院,最终确诊为一枚被整个吞下的瓜子导致罕见的肠道畸形部位穿孔。这一惊险案例,为大众的饮食习惯敲响了警钟。

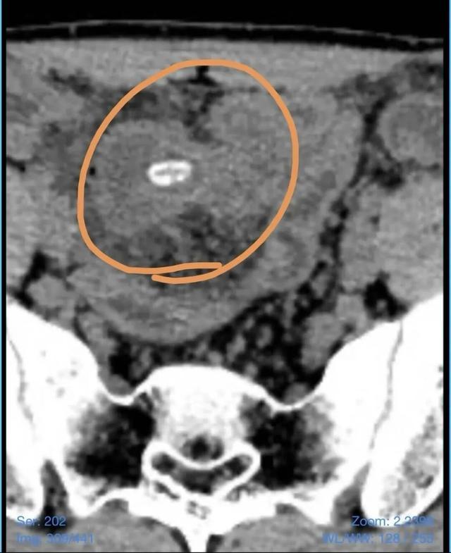
几天前,正在就读大学的小李突然感到右下腹持续性疼痛,有时甚至疼得直不起腰,无法正常活动。家人立即将他送往附近医院就诊。腹部CT检查提示,小李的阑尾略增粗,同时小肠内有一个疑似坚果的异物影像。结合症状,接诊医生初步诊断为“阑尾炎”,并给予了抗感染保守治疗。然而,经过两天的输液治疗,小李的腹痛不仅没有丝毫缓解,反而愈演愈烈,甚至出现了发热、恶心等新症状。焦急万分的家人将其转诊至扬州市妇女儿童医院寻求进一步诊治。

扬州市妇女儿童医院外科副主任医师夏伟接诊后,立刻对小李进行了细致检查和详细病史询问。在翻阅外院CT报告并反复追问下,一个关键细节浮出水面:小李回忆起,发病前几天曾吃过瓜子,并且他平时就有直接吞咽瓜子的习惯,很少咀嚼。结合患者右下腹持续加重的疼痛、腹部明显的压痛反跳痛等体征,以及CT提示的小肠内异物,夏伟凭借丰富的临床经验,敏锐地意识到这并非普通的阑尾炎。“患者的症状虽然很像阑尾炎,但抗感染治疗无效,这提示我们病因可能更为复杂。”夏伟分析道,“我们高度怀疑是瓜子导致了‘美克尔憩室’这一先天性肠道畸形部位的穿孔。”
近日,48岁的张先生因突发呼吸困难被紧急送往襄阳市中心医院东津院区呼吸与危重症医学一科就诊。当时他面色青紫,双手紧紧按住喉咙,情况十分危急。家属告知医生,张先生晚餐时突然呛咳,疑似假牙不慎吸入气管
2026-01-27 21:22:50男子假牙卡喉险窒息医生取出12月2日,洽洽坚果官方微博发布了一条主题为“洽洽瓜子很干燥”的推广内容,强调其产品“无多余水分”、“不潮湿”。在评论区,有网友提到“洽洽瓜紫”这个梗很好笑
2025-12-04 08:02:10洽洽瓜子称瓜紫不等于瓜子引争议