工人被呛柴油6小时现大面积白肺 一口柴油引发急性肺炎!3月5日,温州医科大学附属第一医院收治了一名48岁的修路工人阿勇。他在道路作业时为了图方便,采用嘴吸油管的方法清理压路机油箱内的柴油,结果不慎吸入一口柴油,随即开始剧烈咳嗽、咳痰。

起初,阿勇以为将吸入的柴油全部咳出来就没事了,但几小时后他陆续出现了呼吸不畅和腰背部隐隐作痛的情况。工友见状立即将他送往附近医院,检查发现他的血氧饱和度急剧下降至90%,并且出现严重的呼吸困难和剧烈的腰背部及双肩疼痛。

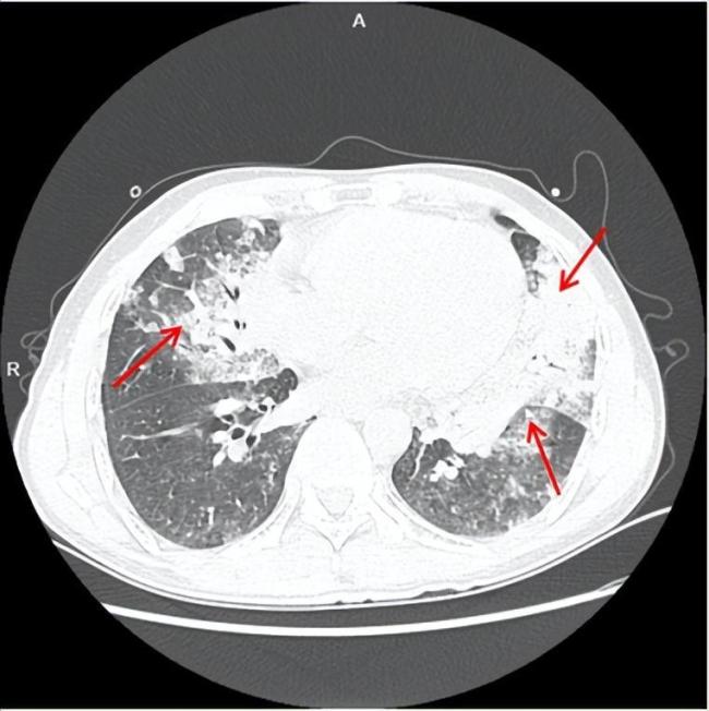
入院时,肺部CT影像显示左肺舌叶和右肺中叶渗出实变,左肺下叶散在磨玻璃影。由于病情危急,阿勇被紧急转诊到温州医科大学附属第一医院急诊科。进一步检查发现两肺多发渗出灶伴局部实变,出现大面积白肺,医生诊断为急性外源性脂质性肺炎。
医护人员迅速将阿勇送入重症监护室(EICU),进行了气管插管接呼吸机辅助通气和肺泡灌洗术,灌洗出大量黄褐色液体,并给予大剂量激素对抗脂质性炎症和抗感染治疗。第二天,阿勇的胸痛发热症状明显好转,经过一周的治疗、护理及多次肺部支气管镜检查和肺泡灌洗,他虽然脱离了生命危险,但仍需进行肺功能康复。
急诊科接管医师董年副主任医师解释,柴油中含有烷烃、环烷烃、烯烃、芳香烃、多环芳烃以及少量硫、氮及添加剂等有害物质,一旦进入肺泡,会引发一系列复杂且持久的病理生理变化。这些物质会被肺泡腔内的巨噬细胞吞噬,但无法被有效降解,最终导致脂质在肺内滞留。
武汉一名49岁的维修工程师张先生在清理一台长期未开机的ATM机后,突然出现高烧和头痛症状。起初他以为是普通感冒,但服用退烧药后仍不见好转。经过三天反复高烧后,张先生前往武汉市第四医院武胜院区就诊
2025-10-15 13:21:11男子维修ATM机后高烧不退白肺了近日,武汉一名21岁的女大学生小陈在连日熬夜备考后,出现持续4天的胸痛、咳嗽以及2天的胸闷气短。她前往医院就诊,被确诊为“I型呼吸衰竭”,甲型流感病毒抗原检测呈阳性
2025-12-02 16:35:58女生备考中患重症流感致呼吸衰竭